Are you tired of dealing with swollen, bleeding gums that impact your confidence and comfort? Many people struggle with gum disease, and if left untreated, it can result in significant oral health problems. Fortunately, there’s a solution: gingivectomy. This transformative procedure not only alleviates persistent gum inflammation but also enhances the aesthetics of your smile. At Italian dental clinic, our periodontist gum specialist in Dubai provides specialized gingivectomy treatments tailored to your unique needs. We are dedicated to helping you regain your gum health and achieve the beautiful smile you deserve. Let’s explore what gingivectomy involves and how it can significantly improve your oral health journey.

Understanding Gum Disease
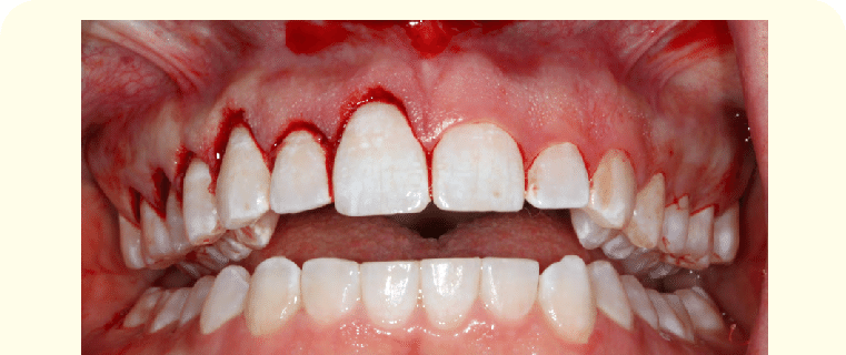
Gum disease, or periodontal disease, is a frequent condition that influences the tissues surrounding and supporting the teeth. It commonly starts with gingivitis, a condition characterized by gum inflammation caused by the accumulation of plaque and tartar. If not addressed, gingivitis can advance to more severe stages of gum disease, significantly damaging the gums and the tissues that support the teeth. Common symptoms of gum disease include:
- Gum inflammation: Gums that appear swollen, red, and tender, which may bleed while brushing or flossing.
- Cause of bleeding gums: The inflammation caused by plaque accumulation irritates the gum tissue, leading to bleeding.
- Persistent bad breath: This can signify bacterial infection in the gums.
- Receding gums: The gums may retract from the teeth, revealing more of the tooth or its roots.
Recognizing these signs is essential, as early intervention prevents further complications.
What is Gingivectomy?
A gingivectomy is a surgical procedure aimed at removing excess gum tissue. It is commonly performed by a gum specialist or a periodontist, especially for patients with advanced gum disease. During a gingivectomy, the periodontist carefully excises the infected or overgrown gum tissue to eliminate pockets that can harbor bacteria. This helps restore gum health and improves the smile’s appearance.
When is Gingivectomy Recommended?
Gingivectomy may be recommended in the following situations:
- Severe Gingivitis: When gingivitis has progressed, and conventional treatments have failed, a gingivectomy can help restore gum health.
- Pocket Depth Reduction: If deep spaces between the gums and teeth result from gum disease, removing excess tissue can make it easier to maintain proper oral hygiene.
- Aesthetic Improvement: Patients seeking a more even gum line or reducing the excessive display of gum tissue when smiling may opt for this procedure.
If you’re looking for the best periodontist in Dubai to evaluate your gum health, our clinic offers comprehensive assessments and tailored treatment plans.
The Gingivectomy Procedure
Understanding the gingivectomy procedure can help alleviate any anxiety you may have about undergoing the treatment. Here’s what to expect:
- Consultation: During your initial visit, your periodontist will evaluate the health of your gums and go over your treatment options. This consultation may include diagnostic imaging to determine the extent of gum disease.
- Anesthesia: Local anesthesia numbs the area surrounding the gums to guarantee your comfort during the procedure.
- Surgical Procedure: The periodontist will use specialized instruments to excise the infected or excess gum tissue. This process is typically straightforward and can often be completed within an hour, depending on the extent of the procedure.
- Post-Operative Care: After the surgery, the periodontist will provide detailed care instructions. Adhering to these guidelines is crucial to encouraging healing and preventing infection.
Recovery and Aftercare
Post-operative care is vital for achieving a successful recovery. Patients might experience swelling and discomfort in the days after the procedure. Here are some essential aftercare tips:
- Pain Management: Over-the-counter pain relievers can assist in easing discomfort. Your periodontist may prescribe more vital medication if necessary.
- Oral Hygiene: Good oral hygiene is vital, but you may need to avoid brushing the treated area for a few days. Rinsing with a saltwater solution can help maintain cleanliness in the area.
- Dietary Adjustments: Consume soft foods and avoid hot or spicy meals until your gums have fully healed.
- Follow-Up Appointments: Regular follow-up visits with your periodontist will facilitate proper healing and enable any necessary adjustments in your treatment plan.
Finding a Periodontist Near You
If you’re searching for a periodontist near you in Dubai, our Italian dental clinic is dedicated to providing high-quality dental care. Our dedicated experts are here to support and guide you to achieve optimal gum health through personalized treatment options.
Conclusion
Gingivectomy is an effective procedure for managing gum disease and improving the health and appearance of your gums. If you notice any gum disease symptoms or have worries about the health of your gums, it’s vital to consult a qualified gum specialist. Our clinic has the expertise and advanced technology to provide exceptional care for all your periodontal needs.
Contact us today to schedule an appointment and take the first step toward a healthier, more beautiful smile!
Leave a Reply